Wir halten Ihre Zähne gesund

Parodontitis

Erhalten Sie ein strahlendes Lächeln mit unserer professionellen Parodontitisvorsorge! Unsere erfahrenen Zahnärzte bieten umfassende Untersuchungen und individuelle Beratung zur Vorbeugung von Zahnfleischerkrankungen. Mit innovativen Methoden und moderner Technologie unterstützen wir Ihre Mundgesundheit. Besuchen Sie uns und erfahren Sie, wie wir gemeinsam Ihre Zähne und Ihr Zahnfleisch schützen können. Vereinbaren Sie heute Ihren Termin für eine maßgeschneiderte Vorsorge - für gesunde Zähne und ein selbstbewusstes Auftreten.

Parodontitis ist eine Volkskrankheit, bei der das Zahnfleisch und der Kieferknochen von schädlichen Bakterien angegriffen werden. Im weiteren Verlauf kann dies bis hin zu dem Auftreten von Eiterherden und Ausfallen von Zähnen führen. Parodontitis ist weltweit die am meisten verbreitete chronische Erkrankung. In Deutschland ist etwa jeder zweite Mensch im Alter von über 50 Jahren betroffen. Ursächlich sind überwiegend die persönliche Veranlagung, der individuelle Lebensstil und/oder eine ineffektive Zahnpflege. Dabei verläuft die Zahnfleischerkrankung meist lange Zeit schmerzfrei und unauffällig, so dass eine regelmäßige Kontrolle beim Zahnarzt unerlässlich ist, um eine Parodontitis rechtzeitig zu erkennen. Mögliche Hinweise, ob Sie ebenfalls betroffen sein könnten, finden Sie auf dieser Seite. Natürlich können Sie zur Vorsorge auch gern einen Termin in unserer Praxis vereinbaren.

Was sind die Anzeichen einer Parodontitis-Erkrankung?

Leider bemerken viele Patienten ihre Erkrankung zunächst gar nicht, weil sie über einen langen Zeitraum beschwerdefrei verlaufen kann. Dabei ist die frühzeitige Erkennung und Behandlung essentiell, um den Zahnapparat, aber auch den gesamten Organismus zu schützen. Über das Zahnfleisch dringen die schädlichen Bakterien in den Kieferknochen ein, zersetzen diesen und führen so langfristig zu Zahnausfall. Vom Kieferknochen aus gelangen die Bakterien schließlich in die Blutbahn und verteilen sich im Körper, wo sie Organe wie Herz oder Lunge angreifen können. Daher sollte man beim ersten Wahrnehmen von Symptomen einer Parodontitis keine Zeit verlieren und unverzüglich einen Zahnarzt aufzusuchen. Zu den ersten Anzeichen, auf die man achten sollte, zählen gerötetes Zahnfleisch, gelegentliches Zahnfleischbluten oder unangenehmer Mundgeruch. In diesem frühen Stadium ist die Therapie meist noch unkompliziert.

Kann ich selbst etwas tun?

Leider ist eine Parodontitis nicht heilbar. Das bedeutet, dass einmal Erkrankte immer ein höheres Risiko für eine erneute Zahnfleischentzündung haben. Mit regelmäßiger und gewissenhafter Zahn- und Zahnfleischpflege lässt sich die Prognose aber stark verbessern. Daher hängt der Therapie-Erfolg in erster Linie von Ihnen ab.

Eine dauerhafte Umstellung des Lebensstils (insbesondere bei Rauchern) und eine gute häusliche Mundhygiene sind wichtig. Darüber hinaus kann es sinnvoll sein, Zahnengstände aufzulösen. Denn in den entstehenden Nischen finden schädliche Bakterien Schutz vor der Zahnbürste. Im Rahmen unseres Nachsorgeprogramms unterstützen wir Sie bei der Erhaltung des Therapie-Erfolgs.

Was sind Langzeitfolgen einer unbehandelten Parodontitis?

Zahnlücken im ausgewachsenen Gebiss führen zu Problemen, da sich die Stabilität der Zähne auf dem Zahnbogen verschlechtert. Isolierte Zähne haben keine Berührung zum Nachbarzahn und können sich beim Kauen nicht mehr gegenseitig stützen.

In die entstandene Zahnlücke können Nachbarzähne einwandern, welche diese Lücke verkleinern und auf der Gegenseite den Kontakt zum angrenzenden Zahn verlieren. Durch diesen Kontaktverlust können Zähne kippen und sich im weiteren Prozess sogar lockern. Zusätzlich ist es möglich, dass der Zahn, welcher der Lücke gegenübersteht, aufgrund des fehlenden Gegenbisses, weiter in die Mundhöhle hineinwächst.

Fehlen Frontzähne, wird das Abbeißen von harten Lebensmitteln schwieriger, außerdem behindern die Lücken die Artikulation. Da gerade beim Verlust von Frontzähnen der ästhetische Aspekt eine große Rolle spielt, ist ein sofortiger Ersatz der Zähne ein Garant für das wiedererlangte Wohlbefinden des Patienten.

Bei Zahnverlust im Seitenzahnbereich wird das Kauen beeinträchtigt und die Belastung auf andere Zähne übertragen. Die veränderte Krafteinwirkung hat auf lange Sicht Folgen für die Kieferfunktion. So kann es zu Problemen der Kiefergelenke kommen, die Schmerzzustände, welche teilweise bis in den Rücken ausstrahlen, verursachen können.

Parodontitis

Lückenzahnsystem mit generalisierter chronischer Parodontitis und Kippung der letzten Mahlzähne im Ober- und Unterkiefer rechts sowie Hinauswachsen der Frontzähne des Oberkiefers durch fehlende Gegenkieferbezahnung.

Bei sehr starkem Knochenverlust über viele Jahre entstehen typische Atrophiezeichen, wie Rückentwicklung des Oberkiefers in der Seitenansicht, beziehungsweise zur Mittelachse hin. Der Unterkiefer bewegt sich von der Mittelachse weg.

Ein typisches „Hexengesicht“ entsteht mit abgesunkenem Mittelgesicht, zurückliegendem Oberkiefer und spitzem Unterkiefer. Hier ist in vielen Fällen ein Knochenaufbau sinnvoll, um dann anschließend nach einer Versorgung mit einem Zahnersatz eine gleichmäßige Kaubelastung zu erzielen.

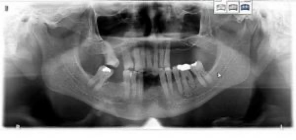
Parodontitis2

Ausgeprägter Knochenschwund des Oberkiefers bei seit vielen Jahren bestehender Zahnlosigkeit und flächiger Belastung durch die Oberkiefertotalprothese.

Was tun, wenn Zähne bereits ausgefallen sind?

Ist es aufgrund einer Parodontitis bereits zu Zahnverlust gekommen oder konnten einzelne Zähne im Zuge einer Therapie nicht mehr gerettet werden, können Implantate eine gute Alternative darstellen. Diese fest im Kiefer verschraubten künstlichen Zahnwurzeln bieten eine komfortable und ansprechende Lösung.

Um Implantate in den Kiefer einbringen zu können, muss der Mundraum jedoch entzündungsfrei sein. Ist der Kieferknochen infolge des Bakterienbefalls bereits zurückgegangen, beraten wir Sie gerne zu den Möglichkeiten des Knochenaufbaus oder zu Mini-Implantaten.

Was genau ist eine Parodontitis?

Bei der Parodontitis handelt es sich um eine entzündliche Erkrankung des Zahnhalteapparates. Zu diesem Bereich zählt man das Zahnfleisch, den Kieferknochen, die Wurzelhaut der Zähne sowie die Zahnwurzeln. Wird die Entzündung nicht behandelt, kann es zum Abbau von Kieferknochen kommen. Langfristig können Zähne ausfallen.

Wie entsteht die Erkrankung?

Wenn sich Bakterien auf den Zähnen ablagern und dann vermehren, kann es zu einer Parodontitis kommen. Besonders beliebt bei den Bakterien ist der Zahnfleischsaum. Da die Bakterien schädliche Stoffwechselprodukte produzieren, kommt es zur Entzündung des Zahnfleisches. Der Zahnarzt spricht dann von einer Gingivitis. Das Zahnfleisch rötet sich und schwillt an oder es zieht sich zurück. In der Folge entstehen zwischen Zahn und Zahnfleisch Taschen, in denen sich die Bakterien verstecken können. Werden diese Ablagerungen nicht entfernt, entstehen mit der Zeit Plaque und Zahnstein. Besteht eine Gingivitis über einen längeren Zeitraum, kommt es zur Parodontitis.

Welche Symptome gibt es?

Am Anfang bemerkt der Patient häufig keine Symptome. Später kommt es dann während der Mundhygiene zu Zahnfleischbluten. Häufig bemerken Patienten erst, dass etwas nicht stimmt, wenn die Zähne locker werden und es fast schon zu spät ist.

Wann muss ich zum Zahnarzt gehen?

Diese Frage ist leicht zu beantworten – sobald Sie erste Warnsignale bemerken! Diese sind Zahnfleischbluten nach dem Zähneputzen sowie Rötung und Schwellung des Zahnfleisches. Noch sinnvoller allerdings ist es, regelmäßig zweimal im Jahr zur Kontrolle zu kommen und so die Parodontitis zu erkennen, noch bevor Sie selbst die Symptome bemerken. Je früher die Erkrankung erkannt wird, desto besser sind die Heilungschancen. Wir sind auf die Behandlung von Parodontitis spezialisiert, so dass Sie sich bei uns sowohl bei der Früherkennung als auch bei einer bereits fortgeschrittenen Parodontitis in den besten Händen befinden.

Kann ich trotz Parodontitis Zahnersatz erhalten?

Das Einsetzen von Zahnersatz ist erst möglich, wenn die Entzündung vollständig beseitigt wurde. Sonst besteht die Gefahr, dass ein Rest zurückbleibt und den Halt der neuen Zähne gefährdet.

Wie läuft die Behandlung ab?

Zunächst erfolgt die Beseitigung der Infektion – dabei reinigt der Zahnarzt die Zahnfleischtaschen sorgfältig. Anschließend entfernen wir die Bakterien durch eine Tiefenreinigung. Diese Prozedur beinhaltet die Reinigung, Glättung und das Polieren der Zahnwurzel. Darüber hinaus kann man mit einer Laserbehandlung den Bereich zusätzlich desinfizieren. Mit der fotodynamischen Therapie kann man auch winzigste Bakterienreste entfernen. Die Behandlung hat eine keimabtötende Wirkung, was ein erneutes Aufflammen der Entzündung verhindert. Wenn die Entzündung durch besonders aggressive Bakterien verursacht worden ist, können Antibiotika helfen, diese zu beseitigen.

Nachdem die Entzündung beseitigt worden ist, widmen wir uns im nächsten Schritt der Korrektur der durch die Parodontitis bereits verursachten Schäden. Man kann unter anderem durch das Einbringen bestimmter Substanzen (Schmelz-Matrix-Proteine) das Gewebe zum Nachwachsen anregen, sodass sich Zahnbett und Zahnwurzel verbinden und so die Voraussetzung für Knochenwachstum geschaffen wird. Auf diese Weise kann man Zahnverlust vermeiden.

Der letzte Behandlungsschritt soll den Behandlungserfolg erhalten und eine erneute Infektion verhindern. Sie müssen aktiv daran mitarbeiten – eine regelmäßige Nachsorge und Kontrolle beim Zahnarzt ist hier unerlässlich.

Wie kann ich vorbeugen?

Der beste Schutz gegen Parodontitis ist eine regelmäßige und sorgfältige Mundhygiene. Dazu gehört das Zähneputzen mindestens zweimal am Tag sowie die Verwendung von Zahnseide und/oder Interdentalbürsten. Auch eine desinfizierende Mundspülung kann helfen (sollte man hier nicht aufpassen, weil man das nicht jeden Tag anwenden soll?) Bsp.: „Auch eine desinfizierende Mundspülung kann in bestimmten Situationen sinnvoll sein.“. Zusätzlich ist eine professionelle Zahnreinigung beim Zahnarzt ein bis zweimal pro Jahr Pflicht. Nur so können Zahnstein sowie Plaque gründlich entfernt werden. Ein großer Risikofaktor ist das Rauchen, das eingestellt werden sollte.

So erreichen Sie uns

Vereinbaren Sie gerne schon jetzt Ihren ersten Termin über unsere Web-Präsenz oder telefonisch. Wir freuen uns auf Ihren Besuch!

Adresse

Im Prüfling 17 – 19
60389 Frankfurt am Main

Öffnungszeiten

Montag 08:00 - 14:00 Uhr | 15:00 - 19:00 Uhr
Dienstag 08:00 - 13:00 Uhr | 14:00 - 16:00 Uhr
Mittwoch 08:00 - 14:00 Uhr | 15:00 - 18:00 Uhr
Donnerstag 08:00 - 14:00 Uhr | 15:00 - 17:00 Uhr
Freitag 08:00 - 14:00 Uhr

Chat on WhatsApp